“دندونهاتون واقعا باارزشن، اگه زود به فکرشون بیفتید، راحتتر درست میشن و کلی دردسرِ بعدی رو از خودتون دور میکنید.”

ترمیم دندان
بازسازی کامل دندانهای آسیبدیده برای لبخندی سالم و زیبا
ترمیم دندان چیست و چرا اهمیت دارد؟
ترمیم دندان (Dental Restoration) یکی از مهمترین شاخههای درمانهای دندانپزشکی است که با هدف بازگرداندن ساختار، عملکرد و زیبایی دندانهای آسیبدیده یا پوسیده انجام میشود. این درمان زمانی لازم میشود که دندان به هر دلیلی مانند پوسیدگی، شکستگی، لبپریدگی، سایش یا حتی درمانهای قبلی دچار نقص یا ضعف شده باشد.
اهداف اصلی ترمیم دندان:
جلوگیری از پیشرفت پوسیدگی دندان و عفونت
حفظ ساختار طبیعی دندان و پیشگیری از کشیدن آن
بازسازی ظاهر زیبا و طبیعی دندان
بهبود عملکرد در جویدن، صحبت کردن و لبخند زدن
جلوگیری از تحلیل استخوان فک در صورت از بین رفتن دندان

مراحل ترمیم دندان (قدمبهقدم)
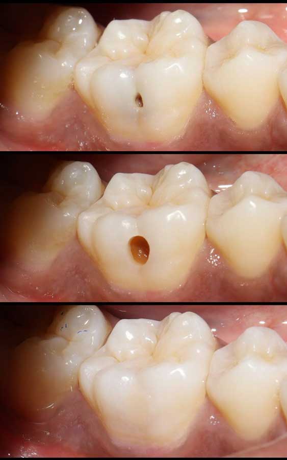
بررسی وضعیت دندان با چشم، پروب و عکس رادیولوژی دیجیتال
تعیین میزان پوسیدگی یا شکستگی و انتخاب بهترین روش ترمیم
برای اطمینان از تجربهای بدون درد
برداشت بافتهای پوسیده یا آمادهسازی سطح برای ترمیم
استفاده از ماده مناسب، شکلدهی و تنظیم ارتفاع دندان
صیقلی کردن ترمیم برای هماهنگی کامل با دندانهای دیگر
مواد مورد استفاده برای پر کردن دندان
در روند ترمیم دندان، پس از برداشت کامل پوسیدگی، ناحیه خالی ایجادشده باید با مادهای مقاوم و مناسب پر شود. بسته به نوع دندان، میزان آسیب و نیاز زیبایی، یکی از گزینههای زیر استفاده میشود:
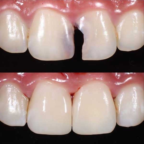
مادهای همرنگ دندان با ظاهری کاملاً طبیعی که برای پر کردن دندانهای جلو و عقب بسیار مناسب است. زیبایی بالا و اتصال قوی به ساختار دندان از مزایای آن است.
آلیاژی فلزی با دوام بسیار بالا، مناسب برای دندانهای آسیاب (عقبی) که تحت فشار زیادی قرار دارند. اگرچه ظاهر فلزی دارد، اما از نظر عملکردی بسیار مقاوم است.
مادهای که علاوه بر پرکردگی، خاصیت آزادسازی فلوراید نیز دارد و به تقویت مینای اطراف دندان کمک میکند. این ماده بیشتر برای کودکان و دندانهای شیری استفاده میشود.
مراقبتهای بعد از ترمیم دندان با کامپوزیت (مواد همرنگ دندان)
ترمیمهای کامپوزیتی معمولاً بلافاصله پس از پایان درمان سفت میشوند (با تابش نور مخصوص) و نیازی به صبر زیاد برای غذا خوردن نیست. اما برای افزایش ماندگاری و جلوگیری از حساسیت، رعایت موارد زیر توصیه میشود:
تا ۱ ساعت بعد از درمان از خوردن غذاهای سفت و چسبناک پرهیز کنید.
از جویدن با دندان ترمیمشده تا چند ساعت اول خودداری کنید، مخصوصاً اگر بیحسی هنوز باقی مانده است.
در صورت احساس زبری، ارتفاع زیاد یا ناراحتی در هنگام جویدن، سریعاً به دندانپزشک مراجعه کنید.
تا چند روز ممکن است دندان نسبت به سرما یا گرما کمی حساس باشد؛ این طبیعی است و معمولاً خودبهخود برطرف میشود.
از جویدن ناخن، یخ، تهمداد یا اجسام سفت پرهیز کنید؛ کامپوزیت نسبت به فشارهای زیاد آسیبپذیر است.
بهداشت دهان و دندان (مسواک زدن، نخ دندان، دهانشویه) را با دقت رعایت کنید.
مراجعه منظم هر ۶ ماه برای معاینه جهت بررسی وضعیت ترمیم
مراقبتهای بعد از ترمیم دندان با آمالگام (پرکننده نقرهای)
آمالگام برخلاف کامپوزیت بلافاصله سفت نمیشود و برای سخت شدن کامل آن ۱۲ تا ۲۴ ساعت زمان لازم است. به همین دلیل، مراقبتهای خاصتری در ساعات اولیه بعد از پرکردن دندان نیاز است که با دقت در اینجا بخوانید:
تا ۲۴ ساعت پس از درمان از جویدن غذا با سمت دندان ترمیمشده پرهیز کنید.
از خوردن غذاهای سفت، چسبنده یا خیلی داغ/خیلی سرد در ۲۴ ساعت اول خودداری کنید.
در صورت امکان، وعدههای غذایی نرم و سبک (سوپ، پوره، ماست) مصرف کنید.
بیحسی ممکن است چند ساعت طول بکشد؛ تا زمانی که بیحسی کاملاً از بین نرفته، چیزی نجوید تا دچار گازگرفتگی ناخواسته زبان یا لپ نشوید.
اگر حس کردید ترمیم بلند است یا هنگام بستن دهان به درستی جفت نمیشود، سریعاً برای اصلاح مراجعه کنید.
درد یا حساسیت خفیف تا چند روز طبیعی است؛ در صورت تداوم بیش از ۷ روز، با پزشک مشورت کنید.
رعایت بهداشت دهان، جلوگیری از فشار زیاد به دندان، و مراجعات منظم ضروری است.
تفاوت مهم در مراقبتها:
| مورد | کامپوزیت | آمالگام |
|---|---|---|
| شروع غذا خوردن | پس از حدود 1 ساعت | بعد از 24 ساعت (ترجیحاً روز بعد) |
| مقاومت اولیه | سریع سفت میشود | به زمان برای سخت شدن نیاز دارد |
| حساسیت | گاهی نسبت به دما | گاهی نسبت به فشار |
| زیبایی | بسیار طبیعی و همرنگ | فلزی و مشخص |
| مناسب برای | دندان جلو و عقب | بیشتر دندانهای عقب (آسیابها |

هزینه ترمیم دندان
هزینه ترمیم دندان به عوامل زیر بستگی دارد:
پر کردن ساده، روکش، اینله، آنله، باندینگ و…
کامپوزیت، آمالگام، سرامیک، زیرکونیا
وسعت پوسیدگی یا شکستگی
دندان جلو یا آسیاب، تکریشه یا چندریشه
کیفیت مواد مصرفی و نوع تجهیزات مطب، تاثیر زیادی در قیمت پرکردن دندان دارد.
برای اطلاع دقیق از هزینه بهتر است جهت معاینه و بررسی دندانتان با ما تماس بگیرید.
ترمیم دندان چقدر طول میکشد؟
بسته به نوع درمان، از ۲۰ دقیقه تا ۱.۵ ساعت. درمانهای پیشرفتهتر مثل روکش نیاز به ۲ تا ۳ جلسه دارند.
ترمیم دندان چند سال دوام دارد؟
با مراقبت مناسب، ترمیمهای کامپوزیتی و آمالگام ۵ تا ۱۵ سال دوام دارند. در محیط دهان بهداشتی و با مراقبت بالا ،حتی یک عمر دوام دارند.
آیا ترمیم دندان طبیعی به نظر میرسد؟
بله، با استفاده از مواد همرنگ دندان و تکنیکهای پیشرفته، ترمیم بهگونهای انجام میشود که تفاوتی با دندانهای طبیعی نداشته باشد.
آیا همه دندانهای خراب را میتوان ترمیم کرد؟
در اغلب موارد بله، اما اگر آسیب بسیار گسترده باشد، ممکن است نیاز به عصبکشی و یا روکش دندان نیز یاشد. ممکن است گاهی آنقدر پوسیدگی پیشرفت کرده باشد که چارهایی نباشد جز کشیدن دندان و جایگزینی با ایمپلنت یا بریج نباشد.
چرا مطب ما را برای ترمیم دندان انتخاب کنید؟
🔹 بیش از 25 سال تجربه کاری درمانهای دندانپزشکی
🔹 استفاده از بهترین مواد و متریال برای دستیابی بهترین نتیجه درمان
🔹 تجهیزات دیجیتال و مدرن در محیط آرام و استریل
🔹 امکان مشاهده قبل و بعد درمان دندان، درمانیتور با دوربین داخل دهانی
🔹 وجدان کاری و صرف دقت فراوان به ظرافت کار
نوبت ترمیم دندان خود را همین حالا رزرو کنید
اگر احساس درد، حساسیت یا تغییر رنگ در دندان خود دارید، و یا اگر مدت زیادی است برای چکاپ و معاینه دقیق دندانهایتان مراجعه نکردهاید، منتظر نمانید.
هر چه زودتر ترمیم انجام شود، احتمال حفظ دندان بیشتر است.
اگر این محتوا برایتان مفید بود لایک کنید.

